Rehabilitación estética anterior con prótesis adhesiva y fibras de vidrio trenzadas
| Flavia Lemes Bussadori
Nayara Rodrigues Nascimento Oliveira Tavares
Jéssica Monteiro Mendes
Alexia da Mata Galvão
Maria Antonieta Veloso Carvalho de Oliveira
Introducción
La evolución de la Odontología proporcionó el uso de nuevos materiales, ampliando las alternativas para substituir la pérdida dental, ya sean múltiples o unitarias. Las diversas técnicas restauradoras, en los últimos años, con el principal objetivo de mantener el máximo de estructura dentaria, han llamado significativamente la atención de los cirujanos dentistas en su práctica clínica (Shillinburg HT. 2007).
Para rehabilitaciones unitarias existen varias posibilidades de tratamiento, algunas invasivas al tejido dentario, como una prótesis fija de tres elementos. Y otros tipos de rehabilitaciones que menos invasivas al tejido dental, como la instalación de implantes dentales, prótesis parcial removible, prótesis adhesivas indirectas y directas (Frese C, et al 2014). Dado que se pueden realizar prótesis adhesivas directas de manera definitiva o provisional, con o sin refuerzos con fibras de vidrio, las cuales presentan alta resistencia a la flexión, absorben y distribuyen las fuerzas masticatorias, mejorando las propiedades físicas y mecánicas de la resina compuesta, además de ser una rehabilitación con una estética bastante favorable (Maruo Y, et al 2015).
Generalmente, este tipo de prótesis tienen carácter provisional, pero en casos de pacientes que no pueden someterse a procedimientos quirúrgicos de implantes dentales, por presentar algún problema sistémico, este tipo de prótesis puede tener carácter definitivo. Pero las limitaciones en cuanto a la durabilidad de este tipo de tratamiento deben aclararse antes de realizar el procedimiento (Vallittu PK & Sevelius C. 2000).
Este trabajo reporta un caso clínico de rehabilitación protésica utilizando una prótesis parcial fija adhesiva en resina compuesta reforzada con una cinta de fibra de vidrio como tratamiento definitivo ante la imposibilidad de realizar un implante dental, con el fin de devolver la función masticatoria y la estética al paciente.
Reporte de caso clínico
Paciente de sexo femenino com 52 años, acudió a la consulta odontológica, con necesidad de extracción del diente 11, necesidad de rehabilitación del mismo.
La paciente utiliza Zometa, un fármaco utilizado para tratar la hipercalcemia provocada por el cáncer, pero también indicado para tratar y prevenir problemas relacionados como fracturas patológicas, compresión en la columna, radioterapia o cirugía en los huesos.
Por lo tanto, a esta paciente se le planteó realizar una prótesis adhesiva con caracter definitivo, ya que le interesaba utilizar prótesis removible o preparar los dientes vecinos para realizar una prótesis fija de tres elementos.
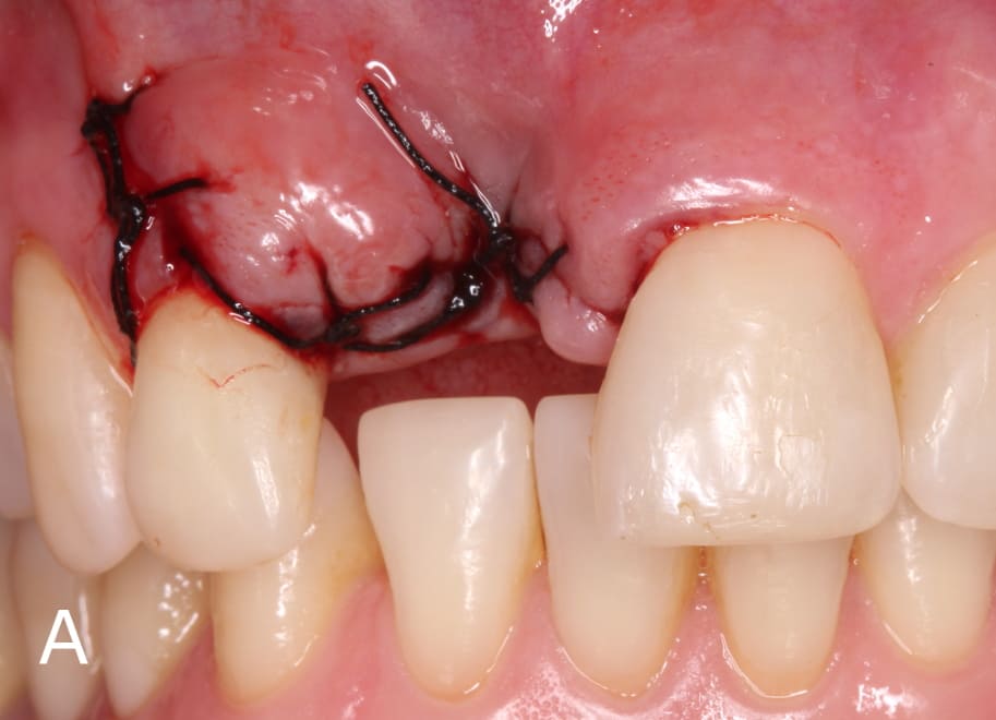
Después de la extracción del elemento dentario (Figura 1), se realizó una preparación palatina en esmalte para adaptar la fibra de vidrio (Interlig, Angelus Industria de Productos Odontológicos S/A, Paraná, Brasil) con resina compuesta sin interferir con la oclusión, ya que las fibras de vidrio deben cubrirse com resina compuesta y nunca deben exponerse al medio bucal.
Después de realizar la preparación, grabe con ácido fosfórico al 37% (Angelus Industria de Productos Odontológicos S/A, Paraná, Brasil) durante 30 segundos (Figura 2A), lavar por el mismo tempo y luego secar com chorro de aire. Luego aplique dos capas de adhesivo (Angelus Industria de Productos Odontológicos S/A, Paraná, Brasil) (Figura 2B) y 2 fotopolimerizar por 30 segundos (Figura 3). Después de hibridar los dientes pilares, realizar la preparación del diente, en este caso se utilizó el diente del propio paciente, realizando un desgaste en la región palatina para que el Interlig tenga espacio suficiente para asentarse sobre este diente, y quede completamente cubierto por la resina compuesta. El Interlig ya es uma fibra silanizada e impregnada, por lo que no requiere ningún tipo de tratamiento previo a su uso, basta com cortarlo al tamaño adecuado (Figura 4). Después de realizar el desgaste, use ácido fosfórico al 37 % y adhesivo en el diente de stock, preparándolo para realizar la adhesiva directa.
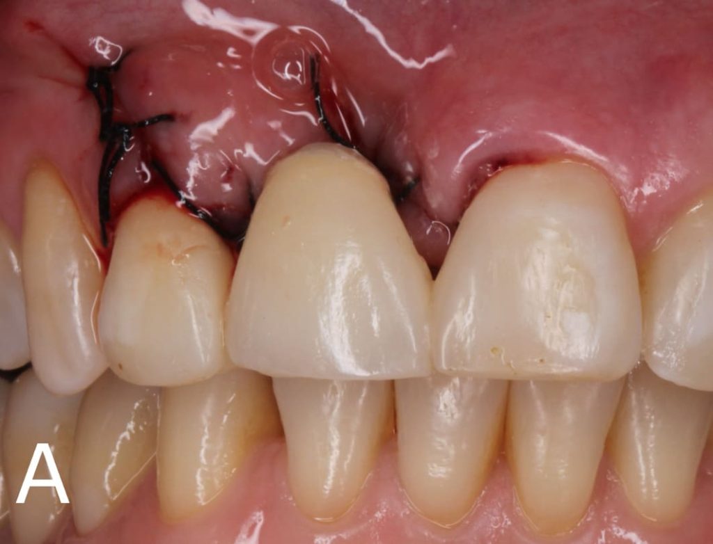
Se posicionó la fibra de vidrio en las preparaciones de los dientes 21 y 12 (Figura 5), se cubrió el área com resina y se fotopolimerizó por 20 segundos (Figura 6). Luego, el diente de stock se colocó sobre la fibra trenzada y se unió a ella con resina compuesta (Figura 7). Después de posicionar la confección de la prótesis adhesiva, se realizó el ajuste oclusal necesario respetando los fundamentos de una oclusión estable bilateral.




del adhesivo


utilizar

preparaciones realizadas

preparaciones realizadas

resina compuesta

la prótesis adhesiva

la prótesis adhesiva
Conclusión
Incluso con indicación de carácter provisional, las prótesis adhesivas realizadas con fibra de vidrio trenzadas permiten la rehabilitación oral, en los casos en que se desea la máxima conservación de las estructuras dentarias, eliminando etapas laboratoriales, en los casos donde la reahabilitación con implantes está contraindicada.
Referencias
1. Shillinburg HT. Fundamentos de Prótese Fixa. São Paulo: Quintessence; 2007. 472p
2. Frese C, Schiller P, Staehle HJ, Wolff D. Fiber-reinforced composite fixed dental prostheses in the anterior area: a 4.5-year follow-up. J Prosthet Dent. 2014 Aug;112(2):143-9.
3. Vallittu PK, Sevelius C. Resin-bonded, glass fiber-reinforced composite fixed partial dentures: a clinical study. J Prosthet Dent. 2000 Oct;84(4):413-8.
4. Maruo Y, Nishigawa G, Irie M, Yoshihara K, Minagi S. Flexural properties of polyethylene, glass and carbono fiber-reinforced resin composites for prosthetic frameworks. Acta Odontol Scand. 2015;73(8):581-7.
5. Cho L, Song H, Koak J, Heo S. Marginal accuracy and fracture strength of ceromer/fiber-reinforced composite crowns: effect of variations in preparation design. J Prosthet Dent. 2002;88(4):388-95.
Produtos em destaque
Materiais Informativos
Acesse bula, catálogo, perfil técnico e trilhas de conhecimento para saber mais sobre nossos produtos!
Leia também
Nenhum caso clínico encontrado 😅
SAC
Servicio Especializado de Atención al Consumidor
De lunes a viernes, de 7h30 a 17h30 (GMT-3).